Ginecare - Médicos Especialistas en Ecografía Especializada
La Ecografía Especializada representa un salto cualitativo en la Medicina Materno-Fetal, proporcionando una visión profunda y detallada del desarrollo fetal. A diferencia de las ecografías convencionales, la Ecografía Especializada se centra en la minuciosa revisión de la anatomía y fisiología fetal. Esto permite a los especialistas de Ginecare detectar condiciones o anomalías que podrían pasar desapercibidas en evaluaciones más generales.
Los médicos especialistas en Medicina Materno-Fetal de Ginecare utilizan tecnología de última generación para examinar las estructuras vitales de bebe. Se inspeccionan minuciosamente el cerebro, corazón, riñones, columna vertebral, extremidades, placenta, cordón umbilical y el líquido amniótico. Esta evaluación integral permite detectar desde malformaciones de bebé hasta problemas de crecimiento, contribuyendo significativamente al monitoreo de embarazos de alto riesgo.
La Ecografía Especializada es esencial especialmente en embarazos considerados de alto riesgo. No obstante, su aplicación no se limita a estos casos; cualquier embarazo debe beneficiarse de esta evaluación exhaustiva para procurar la salud óptima de bebé. En Ginecare Monterrey, nos comprometemos a proporcionar un servicio excepcional, apoyado por nuestro equipo de expertos en Medicina Materno-Fetal.
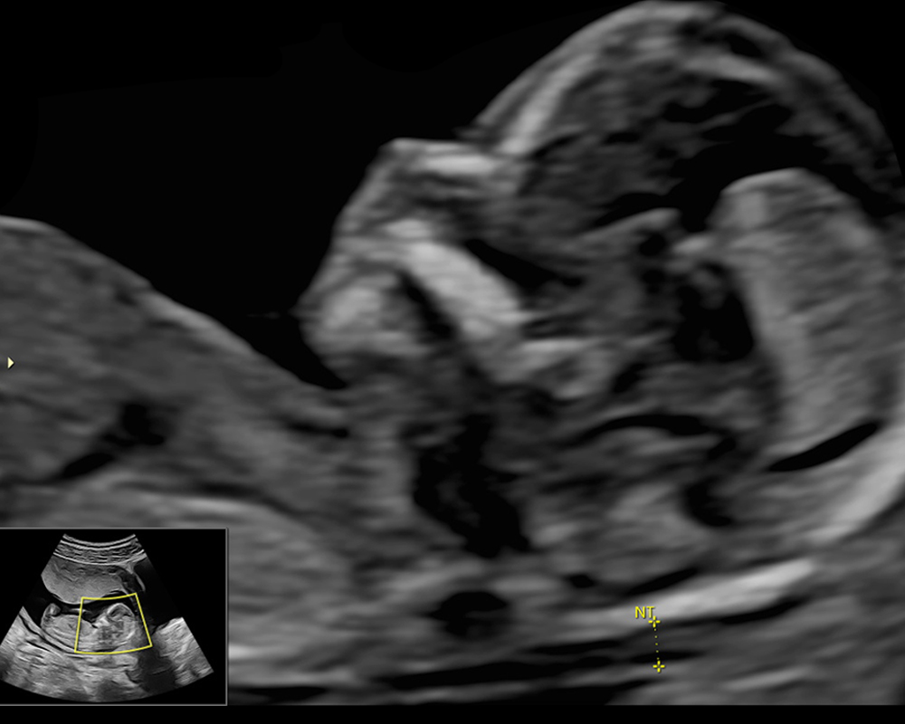
Ecografía Genética: Eco del Primer Trimestre
La ecografía genética, también llamada eco genético o ultrasonido genético, el cual se realiza entre las semanas 11 y 14, es fundamental para el diagnóstico precoz de enfermedades genéticas, como el Síndrome de Down. Además de ofrecer una ventana temprana acerca de la salud genética de bebé, con esta ecografía podemos estimar el riesgo de presentar preeclampsia en el embarazo. Esta última condición puede ser prevenible y evitar que complique la salud de mamá y bebé.
Eco Anatómico 4D
Realizado entre las semanas 20 y 30, el Eco Anatómico 4D, es un estudio que permite una valoración detallada del crecimiento, órganos y estructuras de bebé. Este eco es crucial para la detección temprana de malformaciones congénitas. Si la posición de bebé y las condiciones nos permiten, podemos llevarnos un hermoso recuerdo al tomar fotografías en 4d.
Ecografía Doppler
La Ecografía Doppler evalúa el flujo sanguíneo en los vasos maternos y fetales, es esencial para el seguimiento de posibles problemas de crecimiento de bebé. Esta técnica no invasiva es un pilar en el diagnóstico y seguimiento de embarazos de alto riesgo.
Eco del Tercer Trimestre
Realizado entre las semanas 32 y 36, este estudio general permite una última revisión antes del parto, enfocándose en el peso fetal, la placenta, el cordón umbilical y el líquido amniótico, elementos clave para anticipar cualquier complicación durante el parto.
Ultrasonido Transvaginal
El ultrasonido transvaginal es un estudio el cual permite captar imágenes de mejor calidad del aparato reproductor femenino (Ovarios y Matriz), con las cuales podemos llegar a un diagnóstico más certero, ya que por abdomen no es posible obtener dicha calidad de imágen. También es una grán herramienta en casos donde es necesario detectar embarazos tempranos o de localización desconocida.
En Ginecare nos encargamos de brindarte atención médica de la más alta calidad, siempre con un sentido humano, combinando experiencia, profesionalismo y una profunda empatía hacia cada paciente. Entendemos que la salud de bebé y mamá son una prioridad absoluta, y nuestro equipo está comprometido a asegurar el mejor cuidado posible.
La Ecografía Especializada en Monterrey se rige como un pilar fundamental en la Medicina Materno-Fetal. Nuestro enfoque humano, integral y personalizado garantiza que cada aspecto de la salud de bebé sea monitoreada y atendida con la máxima precisión y cuidado. Te invitamos a contactarnos para descubrir cómo nuestros servicios especializados pueden apoyar la salud y bienestar de bebé.
En Ginecare, no solo nos dedicamos a la excelencia clínica, sino que también abrazamos cada historia familiar con compasión y comprensión profunda. Sabemos que el viaje hacia la maternidad está lleno de esperanzas, sueños y a veces; inquietudes. Por eso, queremos que sepas que no estás sola.
Si estás esperando un hijo y deseas procurar su bienestar desde el comienzo, te invitamos a ser parte de nuestra familia aquí en Monterrey. Permite que nuestros especialistas te acompañen en cada paso de este viaje maravilloso y complejo. Juntos, podemos guiar no solo un embarazo seguro, sino también una experiencia llena de amor y apoyo.
Contacta con nosotros hoy mismo para agendar tu cita de ecografía especializada. Tu bienestar y el de tu futuro bebé son nuestra mayor prioridad.
Recuerda, en este viaje hacia la vida, tu tranquilidad y la salud de tu pequeño o pequeña son lo que más nos importa. Estamos aquí para ti y tu familia, en cada paso del camino.
En Ginecare honramos ese viaje único que estás a punto de emprender. Creemos en brindarte un ambiente amoroso y seguro donde puedes abrazar la magia del nacimiento con confianza y serenidad. Nuestro compromiso va más allá de solo proporcionar una atención médica excepcional; nos dedicamos a celebrar cada momento, cada emoción que se entrelaza con la llegada de tu precioso bebé.
Te invitamos a unirte a nosotros, a formar parte de una experiencia que respeta y celebra tu capacidad para dar vida, que te empodera y te apoya en cada paso del camino. Permítenos ser el escenario en el que comienzas el capítulo más emocionante y gratificante de tu vida. Porque cada nacimiento es una historia de amor que se está desplegando, y nos sentimos honrados de ser testigos de tu historia.
Programa tu cita vía Whatsapp. Estamos aquí para ti, para darle la bienvenida a tu bebé con amor, respeto y alegría.

En Ginecare brindamos el servicio de Parto Respetado, tomando en cuenta cuerpo, mente y espíritu. Siguiendo los procesos naturales de la vida de una forma segura y guiada. Buscamos un nacimiento sin intervenciones rutinarias en el proceso natural. Con respeto de las necesidades de cada mujer, en un ambiente íntimo y cálido durante el trabajo de parto y el nacimiento. Con libertad de movimiento y acompañada por sus seres queridos, donde se promueva el vínculo inmediato de la madre con el recién nacido.
